
A nivel nacional se posiciona en el séptimo sitio

A nivel nacional se posiciona en el séptimo sitio

Durante esta jornada de vacunación también se aplicará el biológico contra la influenza

El acceso a servicios básicos como el transporte público, escuelas, hospitales, centros recreativos y comerciales, resulta básico para el desarrollo de toda comunidad, primordialmente cuando se realizan a pie. Así se midió en Puebla

Los tiraderos de Puebla, Tehuacán, Ciudad Serdán y Atlixco han puesto en aprietos a las autoridades

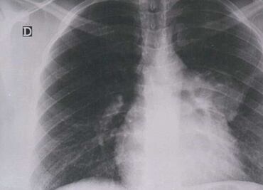
La enfermedad se presenta de igual manera tanto en hombres como mujeres

Un diagnóstico de cáncer de mama toma por sorpresa a todos, pero es más increíble cuando tal resultado lo recibe una mujer que no tiene ningún factor de riesgo, de acuerdo con su oncólogo.

Dependiendo de la etapa en la que se encuentre la enfermedad serán los gastos

El paciente de menor edad tiene 22 años y el mayor 49 años

La recomendación es adquirirlos en lugares formalmente establecidos

Este análisis es el primero en reportar concentraciones de omeprazol y esomeprazol en afluentes hospitalarios del país, situación que podría tener efectos negativos en la salud de las personas y la ecología